Newsletter Feel Good Club Mars 2026
Fantine
Offre mars 2026
30% de remise sur les Formula 1 pour Shaker en Beauté
Valable sur la boutique Suisse avec le code remise F1-Mars
F1-Mars
* Offre Valable UNIQUEMENT du 1er au 10 Mars 2026
Margaux m'a vraiment aidée à y voir plus clair avec mes finances, mon budget, beaucoup de choses.
Je partage avec vous aujourd'hui cette vidéo YouTube qui peut vous aider.
En savoir plus sur Margaux :
🍊chaîne YouTube Suisse / Investir son temps
🧠Aie les impôts (Margaux Dupuy)

Si vous êtes un peu, beaucoup ou passionnément larguée avec
💵vos finances
📂 L'organisation de votre paperasse
📊Votre budget ne fonctionne pas.
Images capturées par Pressmaster.
• Histoire exclusive du premier Membre Herbalife
• Vidéos rares avec Paco Pérez et Mark Hughes
• Témoignage historique de 1980 à 2019
• Archives de la nomination Président Team
• Contenu bilingue (Espagnol/Anglais)
Paco pérez 1er Membre ind. Herbalife Nutrition


Découvrez (encore) une pépite d'Alex Hormozi qui pourrait révolutionner votre vision du succès !
À travers son brillant exemple des jeux de dés, il dévoile une stratégie imparable pour maximiser vos chances de réussite et minimiser les risques d'échec (en fait zéro échec si vous jouez aux dés assez longtemps).
Cette analogie simple mais puissante provoque un véritable déclic mental. Une fois comprise, elle transforme radicalement votre approche de la réussite.
Ne passez pas à côté de cette méthode toute simple qui pourra vous aider à triompher chaque jour de l'année et atteindre vos objectifs les uns après les autres.
Une vidéo courte mais percutante qui mérite toute votre attention.
Le Secret pour triompher de tout

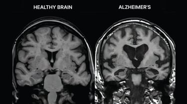
LOUISA NICOLA, experte de la maladie d’Alzheimer, explique les risques précoces d'Alzheimer, pourquoi la créatine booste l'énergie cérébrale et la mémoire, les astuces pour le sommeil profond, et pourquoi la sédentarité est un tueur silencieux !
Attention cela dure 2h00
The Diary Of A CEO et Louisa Nicola émission du 5 févr. 2026
🧠Alzheimer commence à 30 ans et tue à 70


La conférence xAI 2026 met en vedette Grok 4.20, qui cartonne avec ses fonctionnalités "Imagine" pour la génération d'images/vidéos ultra-réalistes et "Heart of Grok" pour une IA plus intuitive et humaine, tout en annonçant un lanceur électromagnétique lunaire révolutionnaire.
En seulement deux ans et demi, xAI s'impose comme leader mondial en IA créative, avec des améliorations radicales sur la plateforme X (ex-Twitter) pour une expérience utilisateur fluide et immersive. Enfin, le lancement de GrokiPedia promet une encyclopédie IA collaborative et bien plus de surprises. Regardez la vidéo, ça vaut le détour ! 🚀
🧠La conférence Xai 2026 d'Elon Musk choque le monde ! Tout ce qui a été révélé en 15mn
💡Idée :
Testez Grokpedia, par exemple, en allant à la page Herbalife.
🎙️ Wispr Flow : La Dictée Révolutionnée
🎁 UN OUTIL QUI CHANGE LA VIE
💡 Idéal pour :
🎤 Répondre aux emails
🎤 Rédiger des messages
🎤 Créer du contenu
🎤 Prendre des notes
✨ Avantages clés :
🎙️ Dictée universelle : fonctionne sur tous vos sites et applications
🎙️ Activation ultra-rapide : une simple touche pour commencer
🎙️ Compatible PC et mobile
🎙️ Reconnaissance vocale précise
🎙️ Mise en forme automatique du texte
🎙️ Gain de temps considérable
Imaginez pouvoir transformer instantanément votre voix en texte, partout et en toute simplicité. Wispr Flow rend cela possible !
Finies les contraintes de la saisie manuelle. Gagnez en productivité et en confort avec Wispr Flow, votre assistant vocal intelligent.
Testez Wispr Flow maintenant et libérez votre créativité !
Bonus : Une prise en main facile en quelques secondes grâce au tuto d'intro
DIDO, j'en étais folle il y a quelques années et peut-être vous aussi savourez cette vidéo de 30 minutes retraçant sa carrière et découvrez en plus sur elle. Voir la vidéo
Côté Perso
FILM découverts et aimés en février :
TKT émotionnant très
La Femme de Ménage... si vous aimez le suspens
F*ck Valentine’s Day une comédie légère et cool AVEC des dialogues.
Code 3 un petit séjour avec un ambulancier chevronné aux États-Unis
feel-good.club ©all rights reserved 2026


